Vorbeugen, stoppen, reparieren:
Hilfe bei Zahnfleischrückgang
Zahnfleischrückgang Wien:
Ursachen, Folgen und Behandlungsmöglichkeiten
Zahnfleischrückgang ist meist die Folge von Parodontose, einer entzündlichen Erkrankung von Zahnfleisch und Kieferknochen. Frei liegende Zahnhälse beeinträchtigen die Stabilität Ihrer Zähne – und sind nicht zuletzt auch ein ästhetisches Problem.
Von der Tiefenreinigung entzündeter Zahnfleischtaschen bis hin zu Knochenaufbau und Zahnfleischtransplantation – wir bieten Ihnen eine Reihe moderner Behandlungsmethoden, um Parodontose zu stoppen und Zahnfleischschwund wieder rückgängig zu machen.
Wie kommt es zum Zahnfleischrückgang?
Bei Zahnfleischschwund zieht sich der Rand des Zahnfleischgewebes, das die Zähne umgibt, zurück, wodurch mehr vom Zahn oder der Zahnwurzel freigelegt wird und die Zähne übermäßig lang wirken.
Der Prozess des Zahnfleischrückgangs beginnt häufig mit einer durch bakterielle Beläge am Übergang zwischen Zahn und Zahnfleisch ausgelösten sogenannten chronischen Gingivitis (Zahnfleischentzündung).
Bakterien und Bakterientoxine rufen das Immunsystem auf den Plan, es entsteht eine Entzündung. Entzündungsprozesse, die Bakterien eliminieren sollen, schädigen auch das Zahnfleisch selbst. Das entzündete Gewebe haftet schlechter am Zahn, und es entstehen Zahnfleischtaschen.
In diesen Taschen können Bakterien sich ungestört vermehren, die Entzündung schreitet nun schneller voran, die Taschen werden allmählich tiefer und das Zahnfleisch zieht sich immer mehr von den Zähnen zurück. Bleibt die Entzündung unbehandelt, dringt sie bis zum Knochen vor. Stützgewebe der Zähne und Knochen können dann so schwer geschädigt werden, dass die Zähne locker werden.
Zahnfleischrückgang ist ein häufiges Zahnproblem. Da die Entzündung nur langsam voranschreitet, wissen die meisten Menschen anfangs nicht, dass sie eine Zahnfleischrezession haben.
Zahnfleischentzündungen und Zahnfleischrückgang sollten Sie nicht ignorieren! Vereinbaren Sie einen Termin mit der Zahnarztordination von Dr. Azzawi in 1010 Wien.
Wenn Sie Anzeichen von Zahnfleischrückgang bzw. Zahnfleischentzündung bemerken, vereinbaren Sie gleich einen Termin in der Zahnarztordination von Dr. Azzawi in 1010 Wien.
Haben Sie den Eindruck, dass Ihre Zähne länger aussehen als früher?
Machen sich Ihre Zähne beim Essen oder Trinken manchmal schmerzhaft bemerkbar? Das kann daran liegen, dass die Zahnwurzeln infolge von Zahnfleischrückgang freiliegen. Sehen oder fühlen Sie eine tiefere Furche zwischen Zähnen und Zahnfleisch? Sieht Ihr Zahnfleisch rot und geschwollen aus und/oder blutet öfter beim Zähneputzen? Das sind Symptome einer Zahnfleischentzündung.

Welche Ursachen kann Zahnfleischrückgang haben?
Es gibt eine Reihe von Faktoren, die dazu führen können, dass das Zahnfleisch zurückgeht.
- Die häufigste Ursache ist Parodontose, eine bakterielle Infektion, die Zahnfleisch und Zahnhalteapparat zerstört. Parodontose wird in der Regel durch Plaque bzw. Zahnstein am Übergang zwischen Zähnen und Zahnfleisch ausgelöst – hier ist also unzulängliche Zahnpflege die Ursache. Es gibt allerdings auch eine genetische Veranlagung für Zahnfleischerkrankungen: Studien zeigen, dass etwa 30 Prozent der Bevölkerung trotz guter Zahnpflege an Zahnfleischentzündungen und Zahnfleischrezession leiden. Auch Raucher haben ein deutlich erhöhtes Risiko, an Parodontose zu erkranken.
- Bei Frauen können hormonelle Veränderungen – etwa in der Pubertät, während der Schwangerschaft oder in den Wechseljahren – das Zahnfleisch empfindlicher machen und eine Zahnfleischrezession fördern.
- Auch aggressives Zähneputzen kann zu Zahnfleischrückgang führen: Wenn Sie es beim Zähneputzen zu gut meinen und mit einer harten Bürste zu viel Druck ausüben, kann das Ihr Zahnfleisch beschädigen (und übrigens auch den Zahnschmelz von Ihren Zähnen schrubben).
- Manche Menschen knirschen vor allem im Schlaf unbewusst mit den Zähnen oder pressen Ober- und Unterkiefer mit großer Kraft zusammen. Das ist in vieler Hinsicht problematisch für die Zähne und kann unter anderem auch Zahnfleischschwund auslösen.

Wie wird Zahnfleischrückgang behandelt?
- Gründliche Reinigung von Zähnen und Zahnfleischtaschen
Bei leichtem Zahnfleischschwund können regelmäßige Zahnreinigungen die Entzündung stoppen, so dass sich das Zahnfleisch wieder regenerieren kann. Bei der Zahnreinigung wird die gesamte erreichbare Oberfläche des Zahns von weichen (Plaque) und harten (Zahnstein) bakteriellen Zahnbelägen gereinigt. Das schließt unbedingt auch eine gründliche Säuberung und Glättung der freiliegenden Wurzeloberflächen in den Zahnfleischtaschen ein. Die Taschen können zusätzlich mit Antibiotika behandelt werden, um schädliche Bakterien zu beseitigen.
Wenn Ihr Zahnfleischrückgang schon fortgeschritten ist, wenn Sie sehr tiefe Zahnfleischtaschen haben, die Zahnhälse großflächig freiliegen und/oder die Erkankung bereits auf den Kieferknochen übergriffen hat, können zusätzlich chirurgische Maßnahmen erforderlich sein, um den durch Parodontose verursachten Schaden wieder rückgängig zu machen.
- Operationen zur Behandlung von Zahnfleischschwund und Kieferknochenverlust
Chirurgische Reinigung der Zahnfleischtaschen (Lappenoperation)
Zahnfleischtaschen, die tiefer als 5 Millimeter sind, werden für die Reinigung vorsichtig mit einem Skalpell geöffnet. Das geschieht selbstverständlich schmerzfrei unter lokaler Betäubung. Nach einer gründlichen Säuberung, Glättung und Desinfektion der Zahnwurzel wird der Zahnfleischlappen wieder zurückgefaltet und mit einigen Stichen fixiert. Im Laufe des Heilungsprozesses kann sich das Zahnfleisch wieder fester an die gereinigte Wurzeloberfläche heften. Mit dieser Methode gelingt es daher oft, die Größe der Zahnfleischtaschen zu reduzieren.

Kieferknochenaufbau
Hat die Parodontose bereits Teile des Zahnhalteapparats zerstört, können wir Ihnen ein Verfahren empfehlen, das verlorenes Knochen- und Stützgewebe regeneriert und den Verlust Ihrer Zähne vorbeugen kann.
Auch hier wird Dr. Azzawi zunächst einen Zahnfleischlappen vorsichtig von der Zahnoberfläche lösen. Nach einer gründlichen Reinigung, Glättung und Desinfektion der Zahnwurzel bringen wir transplantiertes Knochenmaterial, Knochenersatzmaterial oder ein Protein ein, das das Gewebewachstum stimuliert. Eine darübergelegte Membran sorgt dafür, dass Knochen und Gewebe in Ruhe anwachsen und regenerieren können. Abschließend wird der Zahnfleischlappen wieder hochgeklappt und befestigt.
Zahnfleischtransplantation
Es gibt verschiedene Verfahren zur Zahnfleischtransplantation, mit deren Hilfe verlorenes Zahnfleisch rund um einen freiliegenden Zahnhals ersetzt werden kann. Die am häufigsten verwendete Technik wird als Bindegewebstransplantat bezeichnet. Bei diesem Verfahren wird ein Hautlappen im Bereich der Gaumenschleimhaut präpariert: Die Schleimhaut wird angehoben, ein Stückchen des darunter befindlichen Bindegewebes wird herausgetrennt, und der Lappen wird wieder vernäht. Das entnommene Bindegewebstransplantat wird so unter den, die freiliegende Wurzel, umgebenden Zahnfleischrand geschoben, dass es den Zahnhals bedeckt. Im Laufe einiger Wochen wird das Transplantat fest integriert und mit glatter Schleimhaut bedeckt.
Bei einer anderen Art von Transplantat, dem sogenannten freien Schleimhauttransplantat, wird am Gaumen nicht nur das Bindegewebe unterhalb der Haut, sondern ein Stückchen komplette Schleimhaut entnommen und an seinem Bestimmungsort eingesetzt. Bei diesem Verfahren macht allerdings insbesondere die Entnahmestelle am Gaumen über längere Zeit Beschwerden.
Wenn Sie genug Zahnfleisch um die betroffenen Zähne haben, kann der Zahnarzt manchmal auch Zahnfleisch aus der Nähe des Zahns transplantieren; dann muss kein Gewebe vom Gaumen entfernt werden. Dies wird als Pedikeltransplantation bezeichnet.
Unser Spezialist Dr. Azzawi kann anhand Ihres Befunds und Ihrer individuellen Bedürfnisse das beste Verfahren zur Behandlung von Zahnfleischrückgang für Sie bestimmen.
Wie kann ich
Zahnfleischschwund verhindern?
Der beste Weg, um Zahnfleischrückgang zu verhindern, besteht darin, gut auf Ihre Gesundheit zu achten.
- Putzen Sie Ihre Zähne täglich. Verwenden Sie immer eine Zahnbürste mit weichen Borsten und bitten Sie Ihren Zahnarzt, Ihnen die richtige Technik zum Zähneputzen zu zeigen.
- Suchen Sie mindestens zweimal im Jahr Ihren Zahnarzt oder Parodontologen auf und lassen Sie eine professionelle Zahnreinigung und gegebenenfalls eine Reinigung der Zahnfleischtaschen durchführen. Wenn Sie bereits an einer beginnenden Zahnfleischrezession leiden, möchte Ihr Zahnarzt Sie möglicherweise öfter sehen.
- Wenn ein falsch ausgerichteter Biss oder Zähneknirschen die Ursache für den Zahnfleischrückgang ist, sprechen Sie mit Ihrem Zahnarzt darüber, wie Sie das Problem beheben können.
- Rauchen Sie? Mit dem Verzicht auf Nikotin senken Sie das Risiko, an Parodontose zu erkranken, erheblich.
- Ernähren Sie sich ausgewogen und gesund.
Wenn Sie Ihre Zähne gut pflegen, können Sie für immer ein gesundes Lächeln haben. Und auch wenn Sie bereits an Zahnfleischrückgang leiden, ist es nicht zu spät: Sorgfältige häusliche Mundhygiene in Kombination mit moderner Zahnmedizin können diesen Prozess stoppen und Zahnfleisch und Zahnhalteapparat bei der Regeneration unterstützen.
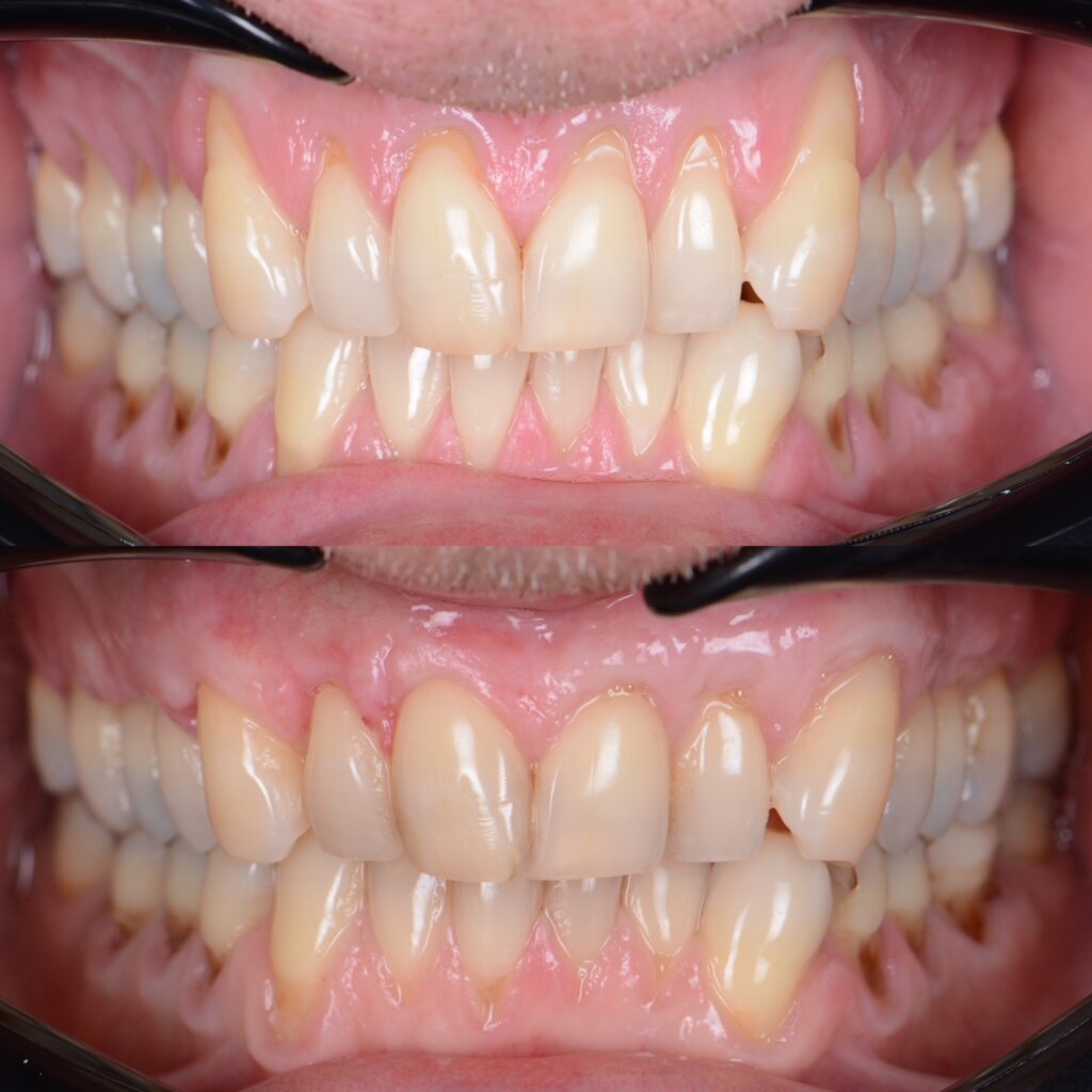
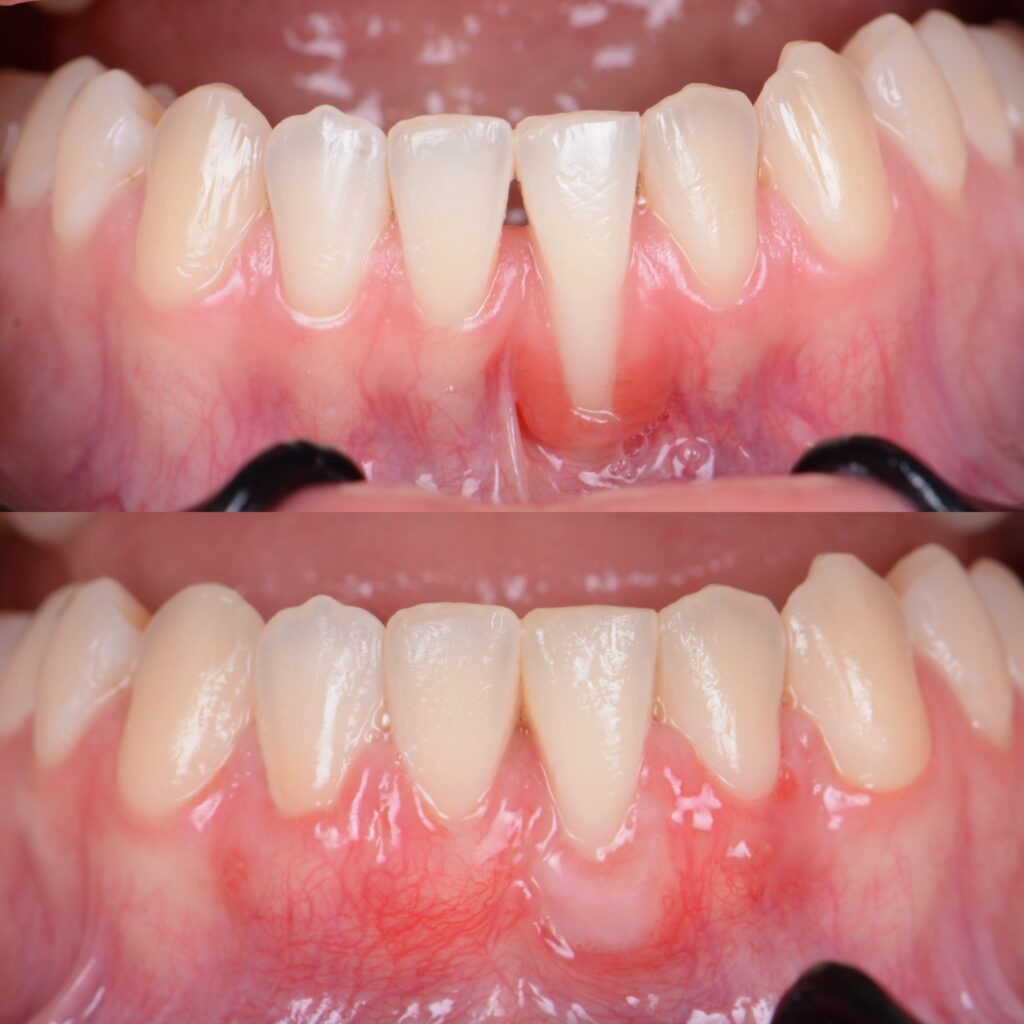
Sie finden einige Vorher/Nachher Fotos sowie Behandlungsbeispiele von Patienten die Dr. Azzawis Praxis wegen Zahnfleischrückgang aufgesucht haben.
Folgen Sie uns auf Instagram: https://www.instagram.com/dr.azzawi1/
Haben Sie ein Zahnfleischrückgang?
Vereinbaren Sie am besten noch heute einen Termin!
Klinische Fälle
Case 14
Vollkommene Harmonie – Veneers und ästhetische Zahnfleischkorrektur für ein beeindruckendes Lächeln














