Größe, Form und Farbe der Schneide- und Eckzähne spielen eine wichtige Rolle für die Ästhetik Ihrer Zähne beim Lächeln, Sprechen und Essen. Besonders die oberen Frontzähne entscheiden darüber, ob Sie der Welt unbefangen „die Zähne zeigen“ können. Die Zahnarztpraxis Dr. Azzawi in Wien ist für Sie da, wenn es um ästhetische Lösungen für Zahnprobleme im Frontzahnbereich geht – kontaktieren Sie uns gern!
Kunststofffüllungen
auch als Kompositfüllungen bzw. Kompositkunststofffüllungen bezeichnet – gehören zu den vielseitigsten Möglichkeiten in unserem Methodenarsenal. Wir nutzen Kompositfüllungen, um Zahnkaries, Zahnbruch und Schmelzdefekte im Bereich der Vorderzähne äußerst unauffällig zu reparieren. Darüber hinaus eignet sich das zahnfarbene Material auch hervorragend zur Korrektur ästhetischer Makel: So können mit Komposit Lücken zwischen den Schneidezähnen (Diasteme) geschlossen, Farbe, Form, Länge und sogar Ausrichtung der Frontzähne geändert werden
Sind Ihre Frontzähne von Karies, Schmelzerosion, defekten oder unschönen Füllungen, von Zahnbruch oder von abgesplitterten bzw. abgeschliffenen Schneidkanten betroffen?
Dr. Azzawi ist für Sie da! Sind Sie mit dem Erscheinungsbild Ihrer Frontzähne unzufrieden und wünschen sich eine ebenso langlebige wie effiziente Lösung? Rufen Sie uns einfach an und vereinbaren Sie einen Termin, bei dem wir Ihre Zähne untersuchen und Sie individuell beraten können.
Hochwertige, ästhetische Zahnfüllungen
bei Karies im Frontzahnbereich
Hat Karies die Frontzähne angegriffen, muss der entstandene Defekt versorgt und repariert werden, um die Zerstörung der Zahnsubstanz zu stoppen, den Befall der Nachbarzähne zu verhindern und das ästhetische Erscheinungsbild der Zähne wiederherzustellen.
Dr. Azzawi wird das von Bakterien befallene Zahnmaterial sorgfältig entfernen, den Hohlraum säubern und desinfizieren und das entstandene Loch mit einem geeigneten Füllungsmaterial versehen. Kompositkunststoff ist hier eine gute Wahl: Das Material kann in seiner Farbe an die des Zahns angepasst werden und ermöglicht eine langlebige, ästhetische und funktionale Reparatur zu einem günstigen Preis.

Da Amalgamfüllungen heute kaum noch verwendet werden und insbesondere für den Frontzahnbereich ungeeignet sind, kommen als Alternativen zur Kunststofffüllung einerseits die funktional und ästhetisch deutlich unterlegenen Zementfüllungen, andererseits die teureren, aufwändigeren Einlagefüllungen (Inlays) in Frage.
In der überwiegenden Mehrzahl der Fälle wird Ihnen Dr. Azzawi im Frontzahnbereich zu einer Kompositfüllung raten. Ist die Zahnsubstanz durch die Karies stark zerstört, kann es allerdings sein, dass nur eine Krone die Stabilität des Zahns wiederherstellen kann.
Weitere Informationen und Fälle aus Dr. Azzawi’s Praxis
Haben Sie ein „Loch“ im Frontzahn?
Vereinbaren Sie am besten noch heute einen Termin!

Vorteile von Kompositkunststofffüllungen im Frontzahnbereich
Kunststofffüllungen sind:
das verformbare Füllmaterial kann in (fast) beliebig geformte Zahnhohlräume eingebracht werden. Demgegenüber erfordert ein Keramik-Inlay eine aufwändige Präparation der Kavität, bei der häufig viel Zahnsubstanz geopfert werden muss.
die Farbe des Kunststoffs kann genau an die des umgebenden Zahns angepasst werden.
das Kunststoffmaterial nutzt sich beim Kauen nicht ab, ist aber weich genug, um für die gegenüberliegenden Zähne kein Verschleißrisiko darzustellen
es ist nur ein Termin erforderlich; eine provisorische Füllung wird nicht benötigt.
ist zum Beispiel etwas von der Füllung abgesplittert oder abgeplatzt, lässt sich der kleine Schaden durch Hinzufügen neuer Kunstoffschichten rasch beheben
die Kosten einer Kunststofffüllung sind wesentlich niedriger als die eines Inlays
bei Kunststofffüllungen gibt es deutlich weniger endodontische Komplikationen als bei keramischen Restaurationen
Veneers aus Kompositkunststoff
Wenn es darum geht, ästhetische Makel grundsätzlich gesunder Frontzähne zu adressieren, ist Kompositkunststoff eine gängige Alternative zu Porzellan-Veneers. Die Behandlung nimmt nur eine einzige Sitzung in Anspruch und ist um einiges günstiger, zeitsparender und auch vielseitiger als mit festen Verblendschalen.
Komposit-Veneers werden meist in mehreren Schichten auf die leicht angeschliffenen oder sogar nur chemisch präparierten Zahnoberflächen aufmodelliert. Egal, ob es sich um Defekte oder Unregelmäßgkeiten in Farbe, Oberfläche, Form, Größe oder Stellung der Frontzähne handelt – Kompositkunststoff kann so gut wie jeden Makel korrigieren.
Die Ergebnisse von direkten Komposit-Veneers sind in ästhetischer wie funktionaler Hinsicht sehr zufriedenstellend. Dank jahrelanger Erfahrung, fundierter anatomischer Kenntnisse und mit ausgeprägtem handwerklichem wie künstlerischem Geschick gelingt es Dr. Azzawi, Lösungen für ästhetische Probleme zu finden, die Ihre Wünsche erfüllen, ohne unnatürlich auszusehen.
Weitere Informationen und Fälle aus Dr. Azzawi’s Praxis
Sind Sie mit der Ästhetik Ihrer Frontzähne unzufrieden? Kontaktieren Sie Ihren Zahnarzt Dr. Azzawi in Wien!

Zu den ästhetischen Problemen, die sich sehr gut mit Kompositfüllungen korrigieren lassen, gehört auch eine Lücke zwischen den beiden Schneidezähnen (Diastema): Die Verbreiterung der Frontzähne mit Komposit-Material schließt das Diastema zeitsparend und – anders als die Behandlung mit Porzellan-Veneers oder Kronen – ohne Verlust gesunder Zahnsubstanz.
Haben Sie eine unangenehme Lücke zwischen den Schneidezähnen? Dr. Azzawi berät Sie zu möglichen Behandlungsoptionen!
Bei sehr großen Abständen zwischen den Frontzähnen kann ein kombinierter Ansatz erforderlich sein: Zunächst korrigiert eine kieferorthopädische Behandlung die Zahnposition, im Anschluss wird die verbleibende kleinere Lücke mit einem Komposit- oder Porzellan-Veneer geschlossen.
So läuft die Behandlung bei der Kompositfüllung ab
Mit einer Füllung aus Kompositkunststoff kann Ihr Zahnarzt einen defekten Zahn sofort reparieren. Für die Behandlung sind folgende Schritte notwendig:
- Karies wird entfernt und desinfiziert, Brüche oder Absplitterungen werden geglättet.
- Anschließend wird ein Förmchen um den betroffenen Zahn gelegt.
- Die Kavität wird mit einem Gel behandelt, das den Zahn anraut.
- Um das Arbeitsgebiet trocken zu halten (Feuchtigkeit beeinträchtigt die Haftung der Kunststofffüllung), werden Watterollen oder ein Kofferdam (Spanngummi) um den Zahn gelegt.
- Dann wird ein Klebstoff aufgetragen, der Zahn und Füllung verbindet. Dieser wird mit speziellem UV-Licht ausgehärtet. Gegebenenfalls wird eine zweite Schicht Klebstoff aufgetragen.
- Das Füllmaterial wird in den betreffenden Zahn eingebracht. Auch die Füllung wird mit UV-Licht ausgehärtet.
- Watterollen, Spanngummi und Förmchen werden entfernt. Die Passform der Zahnfüllung wird überprüft und gegebenenfalls angepasst
- Die Kunststofffüllung wird poliert.
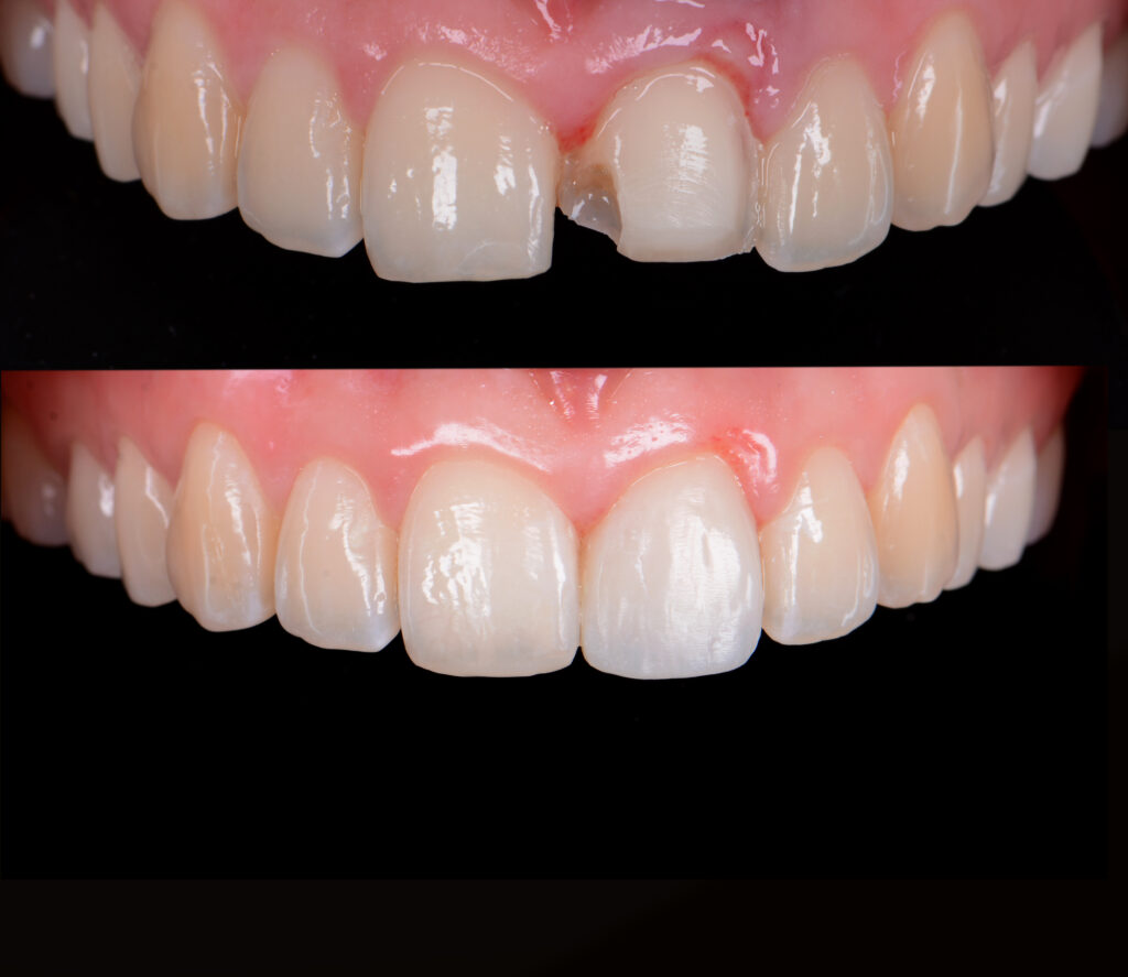
Vergleichen Sie hier unsere Vorher/Nachher Fotos von Kompositfüllungen und Komposit-Veneers
Kosten für ästhetische Frontzahnfüllungen
Ästhetische Frontzahnfüllungen aus Kompositkunststoff sind in der Regel deutlich günstiger als Restaurationen aus Keramik. Ein Großteil der Kosten für Kunststofffüllungen der Frontzähne werden zudem in vielen Fällen von den Krankenkassen übernommen bzw. in gewissen Fällen gänzlich gedeckt.
Wie viel eine Kompositfüllung in Ihrem Fall konkret kostet, teilen wir Ihnen nach einer Untersuchung und Beratung mit. Transparenz liegt uns am Herzen aber ist erst möglich, wenn uns bewusst ist, womit wir es zutun haben. Bitte haben Sie Verständnis dafür, dass wir zu Kunststofffüllungen keine pauschalen Kostenangaben machen können: Die Einsatzmöglichkeiten sind vielfältig, jeder Patient ist individuell, jeder Einzelfall erfordert eine persönliche Beratung und Therapieplanung.
Rufen Sie uns an: Wir beantworten Ihre Fragen und erarbeiten die richtige Lösung für Sie!
Case 1
Präzision, Ästhetik und Natürlichkeit – die Kunst perfekter Veneers
Case 2
Natürlichkeit in Vollendung – handgefertigte Veneers, die dein Lächeln definieren
Case 3
Vollkommenes Lächeln – 10 handgefertigte Veneers für natürliche Harmonie
Case 4
Präzise Verfeinert – 4 handgefertigte Veneers für eine harmonische Front
Case 5
Sanfte Veredelung – 10 handgefertigte Veneers für ein strahlendes Lächeln
Case 6
Natürliche Eleganz – handgefertigte Veneers für ein perfektes Lächeln
Case 7
Harmonische Linien – 4 handgefertigte Veneers für ein beeindruckendes Lächeln
Case 9
Perfekte Proportion – handgefertigte Veneers für ein harmonisches Lächeln
Case 10
Zeitlose Eleganz – handgefertigte Veneers für ein vollkommenes Lächeln
Case 11
Harmonische Verbindung – handgefertigte Veneers für ein makelloses Lächeln
Case 12
Ausgewogene Ästhetik – handgefertigte Veneers für ein harmonisches Lächeln
Case 13
Präzision in Perfektion – handgefertigte Veneers für ein beeindruckendes Lächeln
Case 14
Vollkommene Harmonie – Veneers und ästhetische Zahnfleischkorrektur für ein beeindruckendes Lächeln
Case 15
Wiederhergestellte Ästhetik – handgefertigte Veneers für ein perfektes Lächeln
Case 16
Subtile Perfektion – handgefertigte Veneers für ein strahlendes Lächeln














