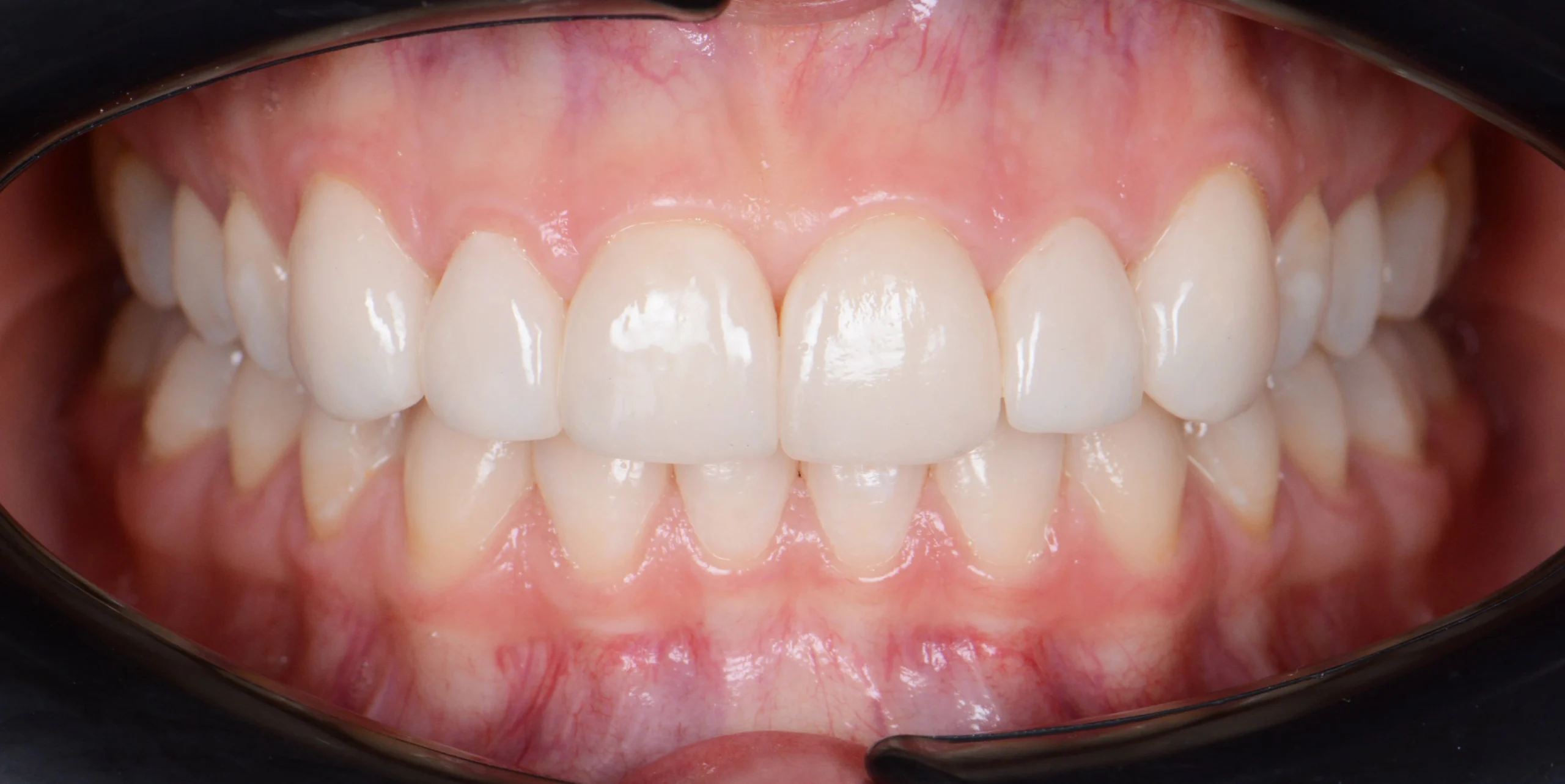
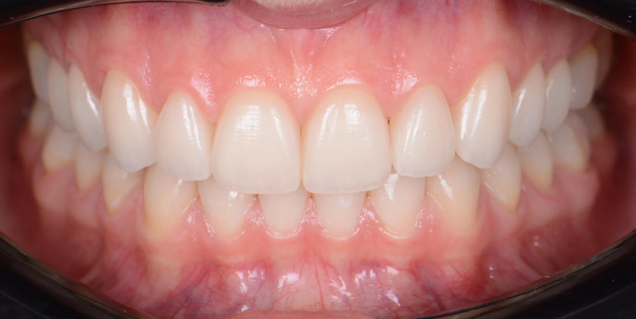
Ein strahlendes Lächeln ist das schönste Ausdrucksmittel. Bei dieser Behandlung wurde die gesamte obere Zahnreihe mit 10 handgefertigten Veneers neu gestaltet – für ein Ergebnis, das Natürlichkeit und Perfektion vereint.
Jedes Veneer wurde individuell modelliert, um Form, Farbe und Proportion auf das Gesicht der Patientin abzustimmen. Durch präzise Handarbeit und ästhetisches Feingefühl entstand ein harmonisches Gesamtbild, das Leichtigkeit und Eleganz ausstrahlt.
Das Resultat: ein makelloses, authentisches Lächeln – lebendig, symmetrisch und voller Ausdruckskraft.



























