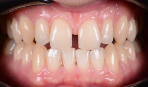
Manchmal genügt eine gezielte Veränderung, um die gesamte Ästhetik neu zu definieren. Bei diesem Patienten stand eine deutliche Lücke zwischen den oberen Frontzähnen im Fokus – eine feine Herausforderung, die wir mit vier individuell gefertigten Veneers gelöst haben.
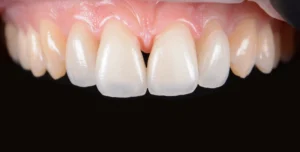
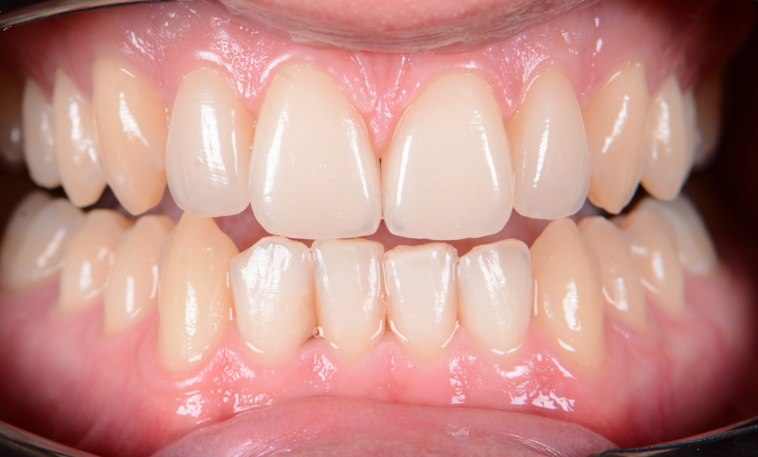
Jede Facette wurde sorgfältig in Form, Farbe und Proportion gestaltet, um sich nahtlos in das natürliche Zahnbild einzufügen. Das Ergebnis ist ein ausgewogenes, symmetrisches Erscheinungsbild, das Natürlichkeit und Präzision in perfektem Gleichgewicht vereint.
Das Ergebnis: Eine harmonische Front mit geschlossenen Proportionen – dezent, präzise und ästhetisch vollendet.

























