Jedes Lächeln erzählt eine Geschichte – und manchmal beginnt sie mit einem Hauch von Veränderung.
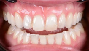
Bei dieser Patientin stand der Wunsch nach einem harmonischen, natürlich schönen Lächeln im Mittelpunkt.
Mit individuell angefertigten Veneers haben wir Form, Farbe und Proportion der vier Frontzähne neu definiert.
Jedes Detail wurde präzise abgestimmt, um die natürliche Ausstrahlung des Gesichts zu unterstreichen und ein makelloses Gleichgewicht zu schaffen.































