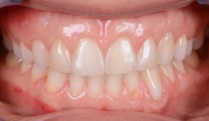
Manchmal liegt die Schönheit eines Lächelns in der perfekten Balance von Zähnen und
Zahnfleisch.
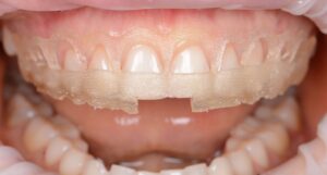
Bei dieser Patientin wurde zunächst die Zahnfleischlinie harmonisiert, anschließend wurden die
Zähne mit individuell gefertigten Veneers veredelt. Form, Farbe und Proportionen wurden
präzise aufeinander abgestimmt, sodass ein ausgewogenes und natürliches Gesamtbild
entsteht.
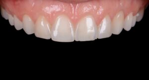
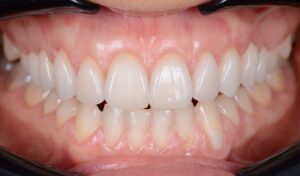
Das Ergebnis: Ein Lächeln, das Eleganz, Natürlichkeit und Selbstbewusstsein ausstrahlt –
beeindruckend, harmonisch und makellos.



























