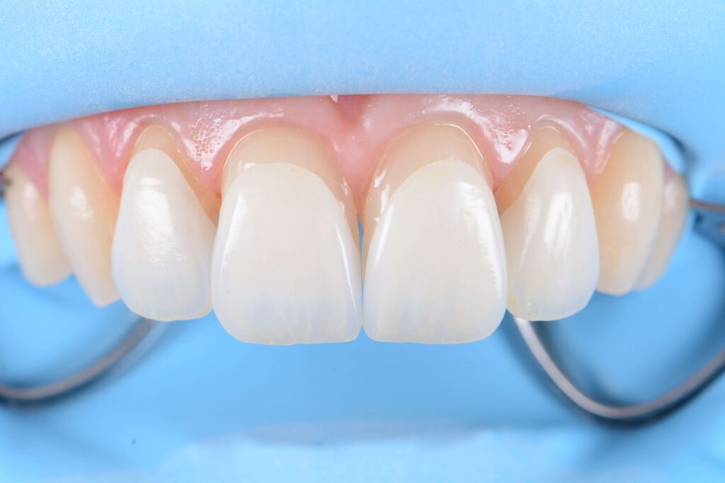
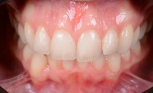
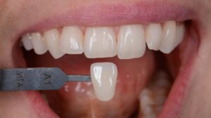
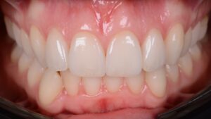
Ein Lächeln lebt von Symmetrie, Form und feinen Proportionen.
Bei dieser Patientin waren die vier Frontzähne nicht gleichmäßig geformt. Mit individuell
gefertigten Veneers haben wir die Form behutsam ausgeglichen, die Konturen verfeinert und ein
harmonisches Gesamtbild geschaffen.
Jede Facette wurde präzise modelliert, in Farbe und Transparenz perfekt abgestimmt und
nahtlos in das natürliche Zahnbild integriert.
Das Ergebnis: Ein Lächeln, das sofort ins Auge fällt – elegant, ausgewogen und einfach
beeindruckend.

























