Wer hat schon von Natur aus vollkommene Zähne? Die meisten von uns brauchen ein bisschen Hilfe, um sich den Traum von einem strahlenden, ebenmäßigen Lächeln zu erfüllen. Geht es Ihnen auch so? Sind Sie mit Farbe, Form oder Beschaffenheit Ihrer Zähne unzufrieden?
Mit ästhetischen Veneers oder Lumineers können wir das Erscheinungsbild Ihrer Zähne entscheidend verbessern. Das funktioniert mit geringem Zeitaufwand und ist minimal invasiv – ohne Schmerzen und mit geringem oder möglich keinem Verlust von Zahnsubstanz!
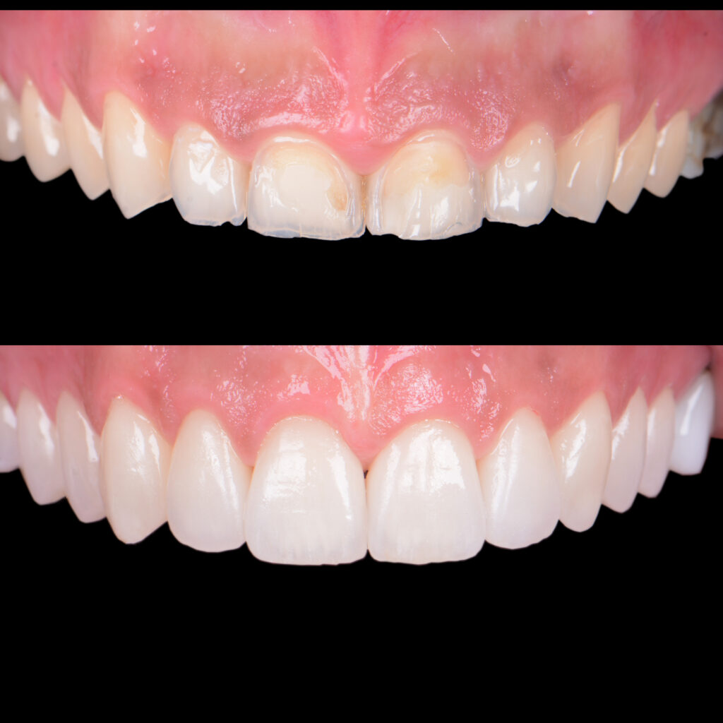
Veneers und Lumineers sind dünne Verblendschalen für den Zahn, die fest auf die Zahnoberfläche geklebt werden und viele ästhetische Makel beseitigen können. Dazu gehören beispielsweise Flecken, Verfärbungen, natürliche Zahnfarben, die nicht ausreichend auf Bleaching ansprechen, Furchen im Schmelz, unschöne Zahnkonturen, abgenutzte oder abgesplitterte Schneidekanten oder auch kleine Lücken zwischen den Zähnen. Sogar leichte Abweichungen der Zahnposition lassen sich mit Veneers unproblematisch korrigieren.
Auch wichtig: Trotz Ihrer einfachen Eingliederung sind Veneers eine langfristige Lösung.
Möchten Sie wissen, ob Veneers für Sie geeignet sind? Machen Sie jetzt einen Beratungstermin bei Dr. Azzawi in Wien aus!
Bei Ihrer ersten Konsultation in unserer Ordination wird Dr. Azzawi mit Ihnen unverbindlich Ihre Wünsche besprechen und erläutern, welche Verbesserungen sich mit Veneers und gegebenenfalls auch anderen Methoden erreichen lassen. Um Ihnen alle Möglichkeiten zu veranschaulichen, fotografieren wir Ihr Lächeln und erstellen ein digitales Modell, mit dessen Hilfe Sie die verschiedenen Verfahren „anprobieren“ und feststellen können, ob Sie mit den Endergebnissen zufrieden sind.
Haben Sie sich für Veneers entschieden, wird Dr. Azzawi Ihre Zähne entsprechend vorbereiten: Damit sich die Verblendungen richtig einfügen, muss eine ganz dünne Schicht Zahnschmelz von den vorderen und seitlichen Zahnflächen entfernt werden. Im Normalfall ist das weniger als ein Millimeter. Im Anschluss nehmen wir einen digitalen Abdruck Ihrer Zähne und wählen die Farbe der Verblendungen aus. Anhand dieser Informationen fertigen unsere Kollegen im Zahnlabor Ihre individuellen Veneers an. In der Zwischenzeit schützen wir Ihre Zähne mit einer unauffälligen provisorischen Verblendung.
Ihre neuen Veneers sind nach etwa zwei bis drei Wochen fertig und können eingesetzt werden. Für die feste Verbindung zwischen Zahn und Verblendschale sorgt dabei ein lichthärtendes Harz. Ein solcher Verbund erreicht höchste Haftwerte und gewährleistet neben ästhetischer Perfektion auch die Funktionalität und Langlebigkeit Ihrer Veneers.
Gut geplante Veneers bereiten in der Regel kaum Eingewöhnungsschwierigkeiten: Sie fühlen sich nicht anders als Ihre eigenen Zähne an – und werden genauso gepflegt. Sie verlassen unsere Wiener Praxis genau mit dem Lächeln, das Sie sich gewünscht haben!
Haben wir Ihr Interesse geweckt? Rufen Sie uns an – perfekte Zähne sind ganz einfach!

Weitere Informationen und Fälle aus Dr. Azzawi’s Praxis

Häufige Fragen
Porzellan- oder Keramik-Veneers sind dünne, lichtdurchlässige Keramikschalen, die nach einem Abdruck der Zahnoberflächen individuell gefertigt und mit einem Spezialkleber auf die Vorderflächen der Zähne aufgebracht werden. Typischerweise bestehen sie aus Feldspat-Keramik, einem Material, dessen mechanische und optische Eigenschaften denen natürlicher Zähne sehr nahe kommen. Als unkomplizierte Alternative zur Überkronung gesunder Zähne bieten Porzellan-Veneers eine minimal invasive Möglichkeit, eine nicht zufriedenstellende Optik der Frontzähne zu verbessern.
Patienten wählen Veneers als kosmetische Lösung, um ihre Zähne dauerhaft aufzuhellen, Verfärbungen, Furchen, Brüche oder Chips zu korrigieren, Frontzahnfüllungen zu kaschieren oder ihr Lächeln zu glätten. Veneers können auch verwendet werden, um schmale Lücken zwischen den Frontzähnen zu schließen oder kleine Fehlausrichtungen der Zähne zu korrigieren.
Lumineers – auch Non-Prep-Veneers genannt – sind noch etwas dünner als konventionelle Veneers. Diese haben eine Stärke von etwa 0,5 Millimetern, während Lumineers nur ungefähr 0,3 Millimeter dick sind.
Vor der Eingliederung von Lumineers wird der Zahnschmelz in der Regel nicht beschliffen, sondern nur leicht angeätzt – daher die Bezeichnung Non-Prep-Veneers (Veneers, für deren Einsatz der Zahnschmelz nicht präpariert werden muss). Für Lumineers muss also meist gar keine Zahnsubstanz geopfert werden, sie lassen sich im Vergleich mit Veneers noch unkomplizierter platzieren – und sie können ohne weiteres wieder entfernt werden.
Allerdings sind die Einsatzmöglichkeiten von Lumineers im Vergleich zu Veneers etwas eingeschränkt: So lässt sich etwa die Zahnfarbe mit Non-Prep-Veneers nur geringfügig aufhellen. Gern beraten wir Sie, ob Sie ein guter Kandidat für Lumineers sind und schlagen Ihnen einen geeigneten Behandlungsplan vor.
Veneers schädigen Ihre Zähne in keiner Weise – sie schützen Ihre natürlichen Zähne tatsächlich sogar vor Schmelzerosion und erhöhen die Bruchfestigkeit.
Die erwartete Lebensdauer ästhetischer Porzellan-Veneers liegt zwischen 10 und 20 Jahren.
Eine handwerklich sorgfältige Präparation des Zahns und sauberes Einzementieren des Veneers verhindern Mikroleckagen zwischen Zahn und Veneer, die in der Tat Eintrittpforten für Bakterien sein können. Wenn Zähne und Verblendungen dann auch ordnungsgemäß gepflegt werden, gibt es keine höhere Inzidenz von Karies bei Veneers.
Natürlicher Zahnschmelz kann sich durch Lebensmittel, Medikamente oder bakterielle Prozesse verfärben. Auch Wurzelbehandlungen oder zu viel Fluorid können die Zahnfarbe beeinflussen. Porzellan-Veneers sind vollkommen unempfindlich gegenüber solchen Einflüssen: Egal, was Sie essen oder trinken oder welche Medikamente Sie einnehmen – Veneers verfärben sich nicht und bekommen keine Flecken. Lediglich bei starken Rauchern können Nikotinablagerungen langfristig zu einem gewissen Nachdunkeln der Veneers führen.
Sorgfältige Mundhygiene und regelmäßige professionelle Zahnreinigungen helfen zusätzlich dabei, die schöne Farbe Ihrer Veneers lange zu erhalten.
Auch Zahnfehlstellungen wie schiefe Zähne können ohne Zahnspange unproblematisch mit Veneers korrigiert werden. Die Voraussetzung dafür ist, dass die Fehlstellung nicht zu einem Fehlbiss (Über-, Unter oder Kreuzbiss) führt. Bei einem Fehlbiss besteht ein erhöhtes Risiko, dass die Veneers abbrechen oder absplittern. Eine Alternative ist in diesen Fällen die Korrektur des Fehlbisses mit anschließender Feinkorrektur der verbliebenen Zahnfehlstellung mittels Veneer.
Die in Ihrem Fall bestehenden detaillierten Möglichkeiten kann Ihr Zahnarzt Ihnen nur nach einer genauen Untersuchung aufzeigen – wenden Sie sich gern an Dr. Azzawi! Die Korrektur eines Fehlbisses nicht nur von ästhetischer Bedeutung: Ein Fehlbiss stellt immer eine nicht stimmige neuromuskuläre Relation zwischen Kiefer und Zähnen dar und kann für zahlreiche gesundheitliche Beschwerden verantwortlich sein.

Veneers gegen Zahnlücke
Ein Veneer kann zwar keinen ganzen Zahn ersetzen, aber die hauchdünnen Schalen sind mühelos in der Lage, eine große Lücke zwischen zwei Zähnen zu kaschieren. Auch in diesem Bereich zeigen Veneers im Vergleich zur Krone ihre Vorteile. Denn während die Krone einen nicht unerheblichen Teil der Zahnsubstanz fordert, muss der Zahn für die modernen Veneers knapp präpariert werden.
Bei einer Zahnlücke durch einen fehlenden Zahn bleiben die alternativen Möglichkeiten eines Zahnimplantats oder einer Zahnbrücke. Besprechen Sie dies gerne mit dem Doktor in unserer Ordination – wir beraten Sie gerne.
Voraussetzungen für Veneers bei Parodontose
Bei der Parodontose handelt es sich um eine entzündliche Erkrankung des Zahnfleisches, die sich unbehandelt auf den Kieferknochen ausdehnt. Bevor irgendwelche Maßnahmen zur optischen Verbesserung Ihrer Zähne ergriffen werden können, muss Ihr Zahnarzt eine nachhaltige Behandlung dieser Entzündung durchführen. Erst nach Abheilung aller entzündlichen Prozesse und dem gesicherten Befund, dass sich das Zahnfleisch nicht mehr zurückzieht, ist die Anbringung von Veneers sinnvoll: Durch den Zahnfleischrückgang entstehen große Zahnzwischenräume und unregelmäßige Zahnstellungen, welche perfekt mit ästhetischen Verblendungen abzudecken sind.
Wie läuft die Behandlung für ästhetische Korrekturen mit Veneers ab?
Im Allgemeinen erfordern zementierte Restaurationen wie Kronen oder Veneers (siehe Veneerschritte in Bildern) zwei bis drei Besuche: einen zum Fotografieren, einen zum Vorbereiten und Formen der Zähne und einen zur Anbringung der Veneers an den Zähnen. Nach dem Anschleifen der Zähne können wir zunächst provisorische Restaurationen einsetzen, um die Empfindlichkeit der beschliffenen Zähne zu verringern und eine alltagstaugliche Funktionalität und Optik zu gewährleisten, bis Ihr neues Lächeln fertig ist.
Eine Woche nach dem Einsetzen Ihrer Keramik-Veneers kommen Sie zu einer kurzen Nachuntersuchung in die Ordination von Dr. Azzawi / Zahnarzt Wien, bei der wir schauen, wie Ihr Mund auf die Veneers reagiert. Bitte versäumen Sie diesen Termin nicht! Auch wenn Sie – wie die große Mehrheit unserer Patienten – mit Ihren Veneers vollkommen zufrieden sind, ist die Nachuntersuchung für Ihre zukünftige Mundgesundheit von entscheidender Bedeutung.
Wie werden die Zähne auf Veneers vorbereitet?
Bevor Veneers auf die Zähne angebracht werden können, findet zunächst eine professionelle Zahnreinigung statt. Diese dient der Entfernung weicher Zahnbeläge sowie von eventuell vorhandenem Zahnstein. Falls Karies vorhanden ist, wird dieser beseitigt. Schadhafte Füllungen werden erneuert.
Bei verfärbten Zähnen muss eine detaillierte Farbanalyse der Nachbarzähne erfolgen, damit das Veneer später zum Erscheinungsbild der restlichen Zähne passt.
Für klassische Veneers wird der Zahnschmelz leicht beschliffen. Bei Lumineers / Non-Prep-Veneers ist das in der Regel nicht erforderlich.

Wie befestigt mein Zahnarzt Veneers auf den Zahn?
Das eigentliche Befestigen / Verkleben der Verblendschale auf dem Zahn dauert etwa eine halbe Stunde. Die Schale wird mit einem speziellen Kleber (Komposit) befestigt, und die Verbindung wird mit UV-Licht ausgehärtet. Klebereste des Komposits müssen sehr gründlich mit einem Scaler entfernt werden, da sonst Reizungen am Zahnfleisch hervorgerufen werden können.
Wartung und Pflege von Veneers
Die Pflege von Porzellan-Veneers ist ganz einfach: Behandeln Sie sie wie Ihre eigenen Zähne durch regelmäßiges Zähneputzen und der Benutzung von Zahnseide. Die meisten Zahnärzte empfehlen die Verwendung einer nicht abrasiven Zahnpasta, die Fluorid enthält.
Wenn Sie die Angewohnheit haben, mit den Zähnen zu knirschen oder zu pressen, erhalten Sie bei Azzawi Zahnästhetik gerne einen nächtlichen Bissschutz, damit Ihre Veneers nicht beschädigt werden.
Porzellan-Veneers sollten in regelmäßigen Abständen mit einer speziell formulierten, nicht scheuernden Paste poliert und auf Anzeichen möglichen Versagens untersucht werden. Wenden Sie sich deshalb auch zur regelmäßigen professionellen Pflege und Vorsorge an Zahnarzt Dr. Azzawi!
Veneers Kosten in Wien
Der Preis für Dentalveneers hängt von der Anzahl der Zähne ab, die abgedeckt werden müssen sowie von der Art der Veneers. Typische Kosten für Veneers liegen zwischen 690 und 1500 Euro für einen einzelnen Zahn.
Der Preis orientiert sich im Wesentlichen an der Qualität des Materials und am zeitlichen Aufwand für die Herstellung und Anpassung der Verblendungen. Auch die Kosten für die Vorbehandlung werden hier eingerechnet.
Da es sich bei Veneers um eine zahnkosmetische Behandlung handelt, werden die Kosten in der Regel nicht von der Krankenkasse übernommen.
Veneers: Behandlungsfälle von Dr. Azzawi
Wir brauchen zwei bis drei Sitzungen, um Porzellan-Veneers einzusetzen:
- Dentalfotografie + Panorama-Röntgen, um den besten Behandlungsplan für Ihr Lächeln und Ihre Zähne zu erstellen.
- Präparation der Zähne: Je nach Behandlungsplan beschleifen wir Vorderseite und Seiten der Zähne um 0,0 (Non-Prep-Veneers) bis 0,7 Millimeter, um Raum für die Veneers zu schaffen + Abdruck der präparierten Zähne: Mit unserem digitalen 3D-Form Intraoralscanner erstellen wir eine digitale Abformung. Sie erhalten ein temporäres Veneer zum Schutz Ihrer Zähne bis zum nächsten Termin.
- Anprobe der fertigen Veneers, um Passform und Optik zu überprüfen + Ist alles OK, werden die Zähne gereinigt und die Veneers permanent mit den Zähnen verbunden + Sie werden mit Ihrem neuen Lächeln zufrieden sein!














