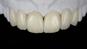
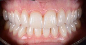
Ein Lächeln lebt von Harmonie, Form und Farbe.
Bei diesem Patienten wurden die oberen Zähne mit handgefertigten Veneers veredelt, um ein
gleichmäßiges, ästhetisch ausgewogenes Erscheinungsbild zu schaffen. Jede Facette wurde
sorgfältig gestaltet, sodass sie sich nahtlos in das natürliche Zahnbild einfügt.
Das Ergebnis: Ein Lächeln, das Natürlichkeit, Eleganz und Ausstrahlung verbindet –
ausgewogen, strahlend und fein abgestimmt.





























