denn Ästhetik zählt auch bei den Backenzähnen
Kunststofffüllungen im Seitenzahnbereich
Ob Sie aus vollem Halse lachen, ein Tor bejubeln oder beim Gähnen einmal vergessen, die Hand vor den Mund zu nehmen – es gibt viele Gelegenheiten, bei denen die Backenzähne hervor scheinen. Das Gefühl, dass auch dort alles in bester Ordnung ist, gibt Ihnen in allen Lebenslagen Selbstsicherheit.
Vor allem unsere Backenzähne haben einen Anspruch auf übermäßigem Sorgfalt gegen Karies und anderen Erkrankungen, weil sie am häufigsten davon betroffen sind und gehören mit gleichem Augenmerk auf Ästhetik repariert wie unsere Eck- und Schneidezähne.
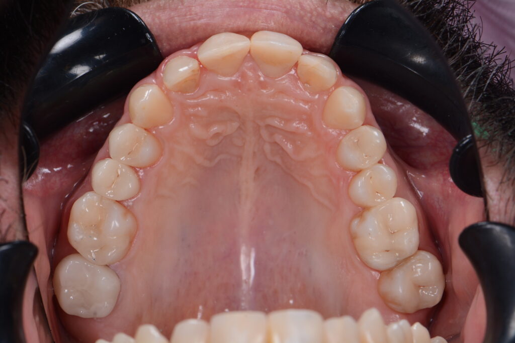
Kunststofffüllungen – oft auch als Kompositfüllungen bezeichnet – sind langlebige weiße bzw. farblich den Zähnen gleichende Füllungen. Sie können selbstverständlich auch verwendet werden, um Backenzähne zu reparieren. Bei Backenzähnen mit Karies, Rissen, Brüchen oder anderen Defekten wird dann der defekte Teil des Zahns entfernt, und der entstandene Hohlraum wird mit einer Kompositfüllung zum ästhetischen Ersatz der Zahnsubstanz befüllt.
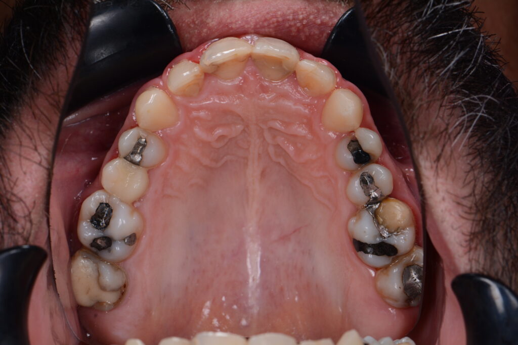
Früher wurden im Seitenzahnbereich sehr häufig Amalgamfüllungen verwendet. Diese metallfarbenen Zahnfüllungen sehen nicht nur wenig ästhetisch aus, sie setzen auch Quecksilber frei und sind damit eine potentielle Gesundheitsgefahr. Wenn Sie Ihre alten Amalgamfüllungen entfernen lassen möchten, kommen Kunststofffüllungen als weitgehend unbedenklicher Ersatz infrage.
Kontaktieren Sie unser Zahnambulatorium in Wien – wir beraten Sie gern.
Dr. Azzawi, Ihr Zahnarzt in Wien, ist für Sie da, wenn es um ästhetische Lösungen für Zahnprobleme im Seitenzahnbereich geht.
Rufen Sie uns gern an und vereinbaren Sie einen Termin!
Ästhetische Zahnfüllungen
bei Karies im Backenzahnbereich
Hat ein Backenzahn Karies, muss die zerstörte Zahnsubstanz mit den darin lebenden Bakterien entfernt werden, um die weitere Zersetzung des Zahns zu verhindern. Die Nachbarzähne müssen vor einem Übergreifen des Befalls geschützt werden um das gepflegte Erscheinungsbild der Zähne auch im seitlichen Zahnbereich wiederherzustellen.
Dr. Azzawi wird nach Entfernung des infizierten Zahnmaterials den entstandenen Hohlraum säubern, desinfizieren und mit einer geeigneten Füllung versehen. Eine Zahnfüllung aus Komposit Kunststoff ist auch für die Backenzähne eine gute Wahl.
Wir verwenden für Kunststofffüllungen ein Nanohybridkomposit Material, mit dem besonders natürlich wirkende und verschleißresistente Restaurationen entstehen.
In der überwiegenden Mehrzahl der Fälle kann eine Kunststofffüllung bei kleinen wie größeren Kavitäten, Aussehen und Funktion des Zahns ausgezeichnet wiederherstellen.
Dr. Azzawi verfügt sowohl über die dafür erforderlichen detaillierten anatomischen Kenntnisse als auch über ästhetisches Gespür und umfangreiche Erfahrung auf dem Gebiet der Füllungstherapie.
Ihre neuen Veneers sind nach etwa zwei bis drei Wochen fertig und können eingegliedert werden. Für die feste Verbindung zwischen Zahn und Verblendschale sorgt dabei ein lichthärtendes Harz. Ein solcher Verbund erreicht höchste Haftwerte und gewährleistet neben ästhetischer Perfektion auch die Funktionalität und Langlebigkeit Ihrer Veneers.
Gut geplante Veneers bereiten in der Regel kaum Eingewöhnungsschwierigkeiten: Sie fühlen sich nicht anders als Ihre eigenen Zähne an – und werden genauso gepflegt. Sie verlassen unsere Wiener Praxis genau mit dem Lächeln, das Sie sich gewünscht haben!
Haben Sie Karies im Backenzahn? Warten Sie nicht, bis die Zahnschmerzen beginnen – vereinbaren Sie heute noch einen Termin bei Dr. Azzawi in Wien!

Vorteile von Kompositkunststofffüllungen im seitlichen Zahnbereich
Kunststofffüllungen sind:
das vor der Aushärtung weiche Füllmaterial kann in (fast) beliebig geformte Zahnhohlräume eingebracht werden. So entfällt die für Keramik-Inlays erforderliche aufwändige Präparation der Kavität und es bleibt mehr Zahnsubstanz erhalten.
der Kunststoff steht in vielen verschiedenen Zahnfarben zur Verfügung: für maximal unauffällige Reparaturen am Zahn.
das verwendete Material hat eine ähnliche Härte wie der Zahnschmelz, nutzt sich daher beim Kauen nicht ab und stellt kein Verschleißrisiko für die gegenüberliegenden Zähne dar.
alles kann mit nur einem Termin erledigt werden; es wird keine provisorische Füllung benötigt.
Schäden an der Zahnfüllung lassen sich leicht beheben; bei Bedarf kann die Füllung auch wieder vollständig entfernt werden.
Kunststofffüllungen kosten wesentlich weniger als Inlays.
Als Alternativen zur Zahnfüllung aus Kunststoff kommen neben den heute kaum noch eingesetzten Amalgamfüllungen noch die in fast jeder Hinsicht deutlich unterlegenen Zementfüllungen in Frage, die allerdings in der Regel nur für provisorische Reparaturen verwendet werden.
Eine teuere und aufwändigere Alternative zu Kompositfüllungen sind Einlagefüllungen (Inlays) aus Gold oder Keramik. Ist die Zahnkrone durch das Karies stark betroffen, dass die Stabilität des Zahns gefährdet ist, benötigen Sie in der Regel eine Krone.
Möchten Sie Ihre Amalgamfüllungen entfernen lassen? Vereinbaren Sie jetzt einen Termin!
Ablauf einer Behandlung des Backenzahns mit einer Kompositfüllung
Mit einer ästhetischen Kunststofffüllung kann Ihr Zahnarzt einen kariösen oder defekten Zahn sofort reparieren. Die Behandlung umfasst folgende Schritte:
- Der Zahn wird geöffnet, Karies entfernt und der Hohlraum desinfiziert. Die Ränder werden von Brüchen oder Absplitterungen geglättet. Bei Bedarf erfolgt dies unter örtlicher Betäubung.
- Wenn nötig legen wir eine kleine Form um den Zahn, um uns bei der Modellierung des Kunststoffs zu helfen.
- Die Kavität (Hohlraum) wird mit einem Gel chemisch aufgeraut, um die Kontaktfläche zwischen Zahn und Füllung zu vergrößern und die Haftung der Füllung zu optimieren.
- Watterollen werden um den Zahn gelegt oder eine über die gesamte Mundhöhle gespannte Gummimembran (Kofferdam) hält das Arbeitsgebiet trocken. Auch das verbessert die Haftung der Kunststofffüllung.
- Ein Bindemittel (Dentinadhäsiv), das Zahn und Füllung verbindet, wird aufgetragen und mit kaltem UV-Licht gehärtet.
- Kompositkunststoff wird als Füllmaterial in die Kavität eingebracht und ebenfalls mit UV-Licht ausgehärtet. Handelt es sich um einen größeren Defekt, wird die Kunststofffüllung in mehreren Teilschichten aufgebaut.
- Watterollen, Kofferdam und Förmchen werden entfernt. Mit einem färbenden Kontaktpapier wird geprüft, ob die Füllung die richtige Höhe hat. Gegebenenfalls korrigieren wir die Passform noch nach.
- Eine abschließende Politur macht Ihre neue Kunststofffüllung schön glatt und glänzend.
Möchten Sie noch mehr Fotos Fotos von Kompositfüllungen sehen? Folgen Sie Dr. Azzawi auf Instagram:

Wie lange hält eine Kunststofffüllung?
Kunststoff geht eine innige Verbindung mit dem Zahn ein: Bei einer sachgerecht hergestellten Kunststofffüllung gibt es keinen Spalt zwischen Zahn und Füllung, durch den Bakterien eindringen können. Zudem werden auch Zähne mit größeren Kavitäten durch eine Kunststofffüllung gut stabilisiert, die Bruchgefahr ist also gering. Kunststoff kann überdies nicht durch Kauen oder Speichel gelöst werden und bietet bakteriellen Belägen wenig Halt. Das sind gute Voraussetzungen, um Kunststofffüllungen sehr dauerhaft zu machen.
Die durchschnittliche Haltbarkeit von Kunststofffüllungen wird in der Regel mit sechs bis acht Jahren angegeben. Bei einer sachgerecht unter Kofferdam eingebrachten Füllung aus hochwertigem Kompositmaterial können Sie aber durchaus mit einer deutlich längeren Lebensdauer rechnen: 15 Jahre und mehr sind hier ohne weiteres möglich.
Einer der häufigsten Gründe für das Versagen von Zahnfüllungen ist eine in der Nachbarschaft der Füllung erneut aufgetretene Karies. Daher spielt die Zahnpflege für die Haltbarkeit von Kunststofffüllungen eine besonders wichtige Rolle. Wer seine Zähne zweimal täglich mit einer fluoridhaltigen Zahncreme putzt – regelmäßige professionelle Mundhygiene ist ein Bonus – tut auch etwas für die Haltbarkeit seiner Kompositfüllungen.


Kosten für Kunststofffüllungen
der Backenzähne in Österreich
Kunststofffüllungen im Seitenzahnbereich werden von den Krankenkassen in Österreich in der Regel in Höhe der tariflichen Kosten für eine Amalgamfüllung bezuschusst. Für Kinder bis zum 15. Lebensjahr, Schwangere und stillende Mütter sowie Patienten mit einer Allergie gegen Amalgam übernehmen die Kassen bei Vertragszahnärzten die gesamten Kosten, bei Wahlzahnärzten 80 Prozent der tariflichen Kosten für Kunststofffüllungen der Backenzähne.
Welche Kosten für Kompositfüllungen im Seitenzahnbereich in Ihrem Fall konkret anfallen, teilen wir Ihnen gern nach einer genauen Untersuchung und Erstellung Ihres individuellen Behandlungsplans mit. Bitte haben Sie Verständnis dafür, dass wir zu Kunststofffüllungen keine pauschalen Kostenangaben machen können: Die Einsatzmöglichkeiten sind vielfältig, jeder Patient ist individuell, und jeder Einzelfall erfordert individuelle Beratung und Therapieplanung. Sprechen Sie uns an: Wir beantworten gern Ihre Fragen und erarbeiten die richtige Lösung für Sie!
Haben Sie ein „Loch“ im Backenzahn?
Vereinbaren Sie am besten noch heute einen Termin!
Klinische Fälle / Beispiele für Veneers:
Case 14
Vollkommene Harmonie – Veneers und ästhetische Zahnfleischkorrektur für ein beeindruckendes Lächeln














