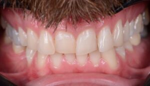
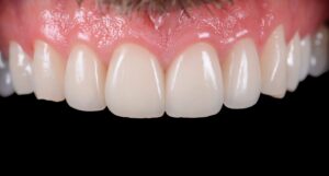
Ein Lächeln lebt von Proportion, Form und feinen Details.
Bei diesem Patienten wurden vier individuell gefertigte Veneers eingesetzt, um ungleichmäßige
Konturen zu harmonisieren und die natürliche Balance der Zähne zu betonen.
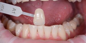
Jede Facette wurde präzise modelliert, in Farbe und Transparenz perfekt abgestimmt und
nahtlos in das Zahnbild integriert.
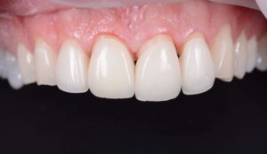
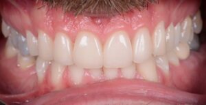
Das Ergebnis: Ein Lächeln, das Natürlichkeit, Eleganz und Ausdruckskraft vereint – stilvoll,
ausgewogen und selbstbewusst.



























