Manchmal liegt die Schönheit eines Lächelns in der Ausgewogenheit der Details.
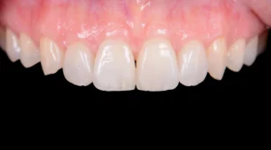
Bei dieser Patientin wurden die Lücken zwischen den Frontzähnen behutsam korrigiert. Vier
individuell gefertigte Veneers schufen eine perfekte Symmetrie, fein abgestimmte Form und
natürliche Harmonie.
Das Ergebnis: Ein Lächeln, das Eleganz, Balance und Selbstbewusstsein ausstrahlt – subtil,
natürlich und beeindruckend.

























