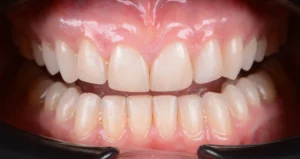
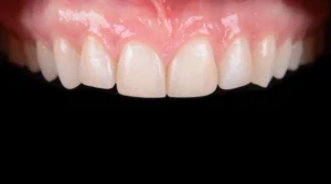
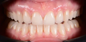
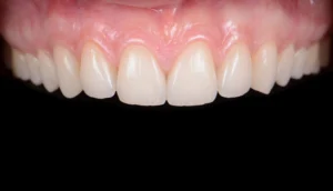
Jedes Detail zählt, wenn es um ein harmonisches Lächeln geht. Bei dieser Behandlung standen vier Frontzähne im Fokus – präzise gestaltet, um ein natürliches und ausgewogenes Gesamtbild zu schaffen.
Unsere handgefertigten Veneers vereinen meisterhafte Handarbeit mit moderner Ästhetik. Sie korrigieren feine Unregelmäßigkeiten in Form und Farbe, ohne die natürliche Ausstrahlung zu verlieren.


























