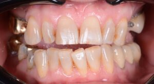
Ein harmonisches Lächeln kennt kein Alter.
Bei dieser Patientin wurden Veneers im Ober- und Unterkiefer individuell gefertigt, um Form,
Farbe und Symmetrie in perfekter Balance zu gestalten.
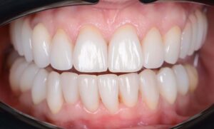
Jede Facette wurde mit höchster Präzision modelliert, um Natürlichkeit, Tiefe und Lichtreflexe
zu vereinen – für ein Ergebnis, das zart, ausgewogen und stilvoll ist.
Das Ergebnis: Ein vollständiges Lächeln voller Ausstrahlung und Selbstvertrauen – elegant,
harmonisch und von zeitloser Schönheit.
























