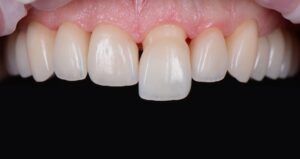
Ein Lächeln lebt von Balance, Form und makelloser Harmonie.
Bei diesem Patienten wurden die oberen und unteren Zähne mit individuell gefertigten Veneers
behandelt, um beschädigte Stellen zu korrigieren und die natürliche Proportion
wiederherzustellen. Jede Facette wurde mit höchster Präzision gestaltet, sodass Form, Farbe
und Transparenz perfekt aufeinander abgestimmt sind.
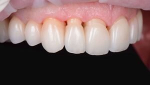
Das Ergebnis: Ein Lächeln, das durch meisterhafte Handwerkskunst, Ästhetik und
Selbstbewusstsein überzeugt – ausgewogen, strahlend und harmonisch.































