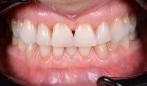
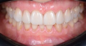
Symmetrie und feine Linien machen ein Lächeln aus.
Bei dieser Patientin wurden die Frontzähne mit individuell gefertigten Veneers veredelt, um
Form, Kontur und Balance zu optimieren.
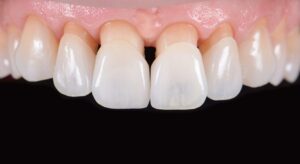
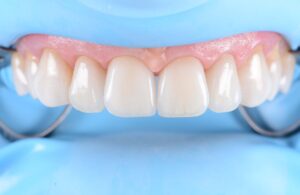
Jede Facette wurde präzise modelliert, in Farbe und Transparenz abgestimmt und harmonisch
in das natürliche Zahnbild integriert.
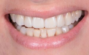
Das Ergebnis: Ein Lächeln, das Eleganz, Natürlichkeit und Ausdruckskraft vereint –
ausgewogen, strahlend und schlicht beeindruckend.























