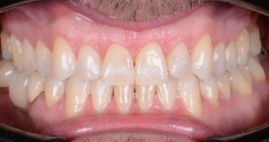
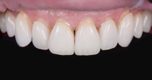
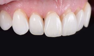
Ein Lächeln lebt von Detail, Form und perfekter Harmonie.
Bei diesem Patienten wurden die oberen Zähne mit individuell gefertigten Veneers veredelt.
Jede Facette wurde sorgfältig modelliert, in Farbe, Transparenz und Struktur fein abgestimmt,
sodass das Ergebnis besonders detailliert und natürlich wirkt.
Das Ergebnis: Ein Lächeln, das Eleganz, Selbstbewusstsein und ästhetische Präzision vereint
– subtil beeindruckend und vollkommen harmonisch.































