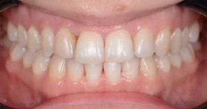
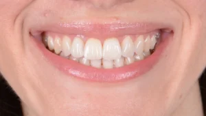
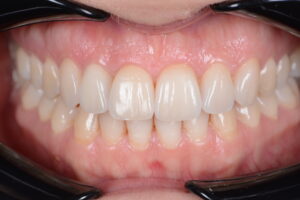
Ein schönes Lächeln entsteht durch feine Proportionen, harmonische Formen und das Spiel von
Licht und Farbe.
Bei dieser Patientin wurden Veneers sorgfältig gestaltet, um die Zähne zu veredeln und ein
gleichmäßiges, ausgewogenes Gesamtbild zu schaffen.
Jede Facette wurde individuell angepasst, um sich natürlich in das bestehende Zahnbild
einzufügen und die Ästhetik subtil zu steigern.
Das Ergebnis: Ein Lächeln, das Natürlichkeit, Eleganz und Ausstrahlung vereint – schlicht,
harmonisch und perfekt proportioniert.





























