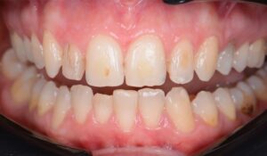
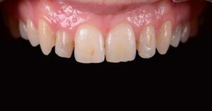
Ein strahlendes Lächeln entsteht durch Präzision, Harmonie und subtile Details.
Bei dieser Patientin wurden zehn Veneers sorgfältig gestaltet, um Form, Farbe und Lichtreflexe
perfekt aufeinander abzustimmen.
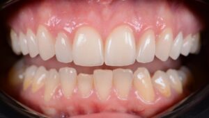
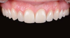
Jedes Veneer wurde individuell modelliert, um ein natürliches, elegantes Ergebnis zu schaffen –
sanft, ausgewogen und vollendet in jedem Detail.
Das Ergebnis: Ein Lächeln, das Ausstrahlung, Natürlichkeit und Eleganz vereint – hell,
harmonisch und voller Selbstbewusstsein.































