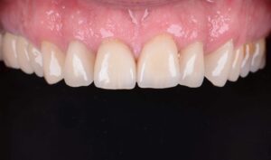
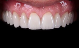
Nicht jedes Lächeln braucht eine komplette Veränderung – manchmal genügen präzise gesetzte
Akzente, um die natürliche Schönheit hervorzuheben.
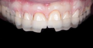
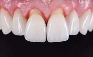
Bei dieser Behandlung wurden sowohl die oberen als auch die unteren Zähne mit
handgefertigten Veneers versorgt,
um Form, Farbe und Symmetrie perfekt aufeinander abzustimmen. 💎
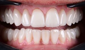
Zwischen den unteren Frontzähnen bestand eine kleine Lücke,
die wir mit viel Feingefühl geschlossen haben, um ein harmonisches Gesamtbild zwischen
Ober- und Unterkiefer zu schaffen.
























