Our Patient Reviews
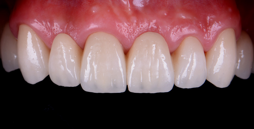
Dr.Omar Azzawi
Aesthetic Dentist
Aesthetic Dentistry is like a Dream Passion Love that I always want it, just to be able to make and see the beautiful Smile on the People’s faces that’s why I really do handwork for every single Case like planning and diagnosis ,preparing till the final step of work. My philosophy in Dentistry is not just high end Aesthetic but also healthy and functional Dentistry. In this beautiful Specialized Dental Clinic & Aesthetic Veneers In Vienna (Wien 1010) you will find a lot of great our real Cases that I did it recently like before and after Cases , kindly have a look and enjoy the Beauty .

Our Dental Services
At Dr.Azzawi Dental Clinic In Vienna, Our Expert Doctors provide a wide range of Dental Services in Vienna.
Our Dental Clinic Blog
Bone Augmentation And Implant Dentistry: When You Need It
Bone augmentation is a common procedure in implant dentistry typically employed when there is…
How We Identify And Solve The Root Problem—Even If It’s Microscopic
An undiagnosed microscopic root problem can lead to significant dangers for a patient’s oral…
The Solution for Receding Gums
Gum or gingival recession (GR) is a common oral health issue that affects many…
How Old is Too Old for Braces?
Our teeth are not just something we chew solid food and form phonetic sounds…
Everything You Need to Know About Ceramic Implants
Dental implants are, without a doubt, the most highly-recommended treatment for missing teeth at…
A Primer on Immediate Implants
Visit Azzawi Dental Aesthetic whether you want to let your dental implants heal and…











