Aesthetic Veneers
Porcelain laminate veneers consist of a compilation of several thin ceramic layers which replace original tooth enamel, and an adhesive layer. To apply a veneer, a very small amount of the original tooth enamel must be removed, usually less than a millimeter. This is essential as it creates room for the porcelain veneer to fit within the mouth and most accurately restore natural tooth function while creating an even better appearance than the original tooth.
The bond between original tooth and porcelain veneer is critical as it not only provides the esthetic perfection desired, but also a strong bond which is essential for correct veneer function. Light-sensitive resin is placed between the original tooth and the veneer and then hardened using a special curing light.
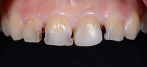
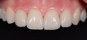
Porcelain veneers are a very successful option in many situations where the original tooth has developed poor color, shape, and contours. It is also a good choice for fractured teeth, gaps between teeth, and in some situations where the tooth position is compromised and there are minor bite-related problems. For some people, superficial stains do not respond well to tooth whitening or bleaching. In these situations, a porcelain veneer may be the best option.
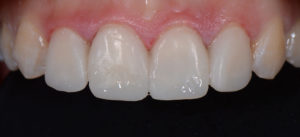
Dr.Azzawi will most likely begin with a smile analysis (Dental photography) to determine what steps are necessary to achieve the smile you desire. In addition, Dr.Azzawi create a diagnostic mock-up that will allow you to “try on” veneers and other procedures to see if the final result is actually what you’re looking for. Dr.Azzawi will show you a photo of how your new smile will look. This is called cosmetic imaging.
Why are Veneers Used in Aesthetic Dentistry ?
Veneers are a less intrusive option than crowns . Veneers can be used to close gaps or correct small misalignments. Patients also choose veneers as a cosmetic solution to enhance the brightness of their teeth and to straighten their smile, correcting issues like discoloration, fractures, or chips.
Does Veneer damage the Natural Teeth?
Porcelain veneer does not damage your natural teeth by any means. In fact, it protects your natural teeth from further decaying as well as other damages. Fragile teeth can be dangerous, as they can be broken down anytime. With veneer, porcelain lamination is added around the teeth to give strength.
What is the material of Porcelain Veneers?
The most commonly used material for our Aesthetic porcelain veneers is Feldspathic porcelain which give us the natural looking teeth . Aesthetic porcelain veneers are preferable for correcting issues of shape or color and can last from 10 to 20 years.
If my teeth are reshaped for veneers or crowns, what will they look like? Will they be sensitive?
Generally, cemented restorations, such as crowns or veneers (see veneer steps in Pictures), will require 2-3 visits: one to take Pictures and one to prepare and shape the teeth and one to cement the restorations to the teeth. Between visits, your dentist in vienna Dr.Azzawi can place attractive provisional restorations to help prevent sensitivity, allow limited function, and provide a nice smile. These temporaries are designed to be in your mouth for a limited time, but should be comfortable and natural looking until your new smile is completed.
If I have veneers will I get cavities?
There is no higher or lower incidence of tooth decay with veneers as long as they receive proper care.
How long do porcelain veneers last?
The expected lifetime of a porcelain veneer is between 10 and 20 years
Do porcelain veneers stain?
No, porcelain veneers should never stain
Prep or “NO-PREP” Veneers?
Some patients are looking for an alternative to traditional dental veneers and this treatment option is Not appropriate for everyone ,but also appropriate for some patients .
Just as with porcelain veneers, “no-prep” or minimal preparation veneers— so called because they typically don’t require the dentist to remove as much tooth material—are bonded to the front surface of your teeth. Often, the placement of no-prep veneers can be done more quickly and with less discomfort than traditional veneers.
Your Dentist in Vienna Dr.Azzawi will let you know if you are a good candidate for minimal preparation or “no-prep” veneers and if this option makes a sensible treatment plan.
Maintenance of a Veneer
Maintaining porcelain veneers is actually quite simple: Treat them as you would your original teeth, with routine brushing and flossing. Using non-abrasive fluoride toothpaste will typically be suggested by your dental professional.
One week after your veneers are placed, you will be required to return to the office for a follow-up visit and evaluation so Dr.Azzawi can see how your mouth is reacting to the veneers. Even if you feel the veneers are a success, this appointment is vital to your future oral health.
If you have a habit of grinding or clenching your teeth, your dentist in Vienna Dr.Azzawi may fit you with a nighttime bite guard so you do not damage your veneers.
You should also return to your dentist in vienna Dr.Azzawi for regular professional maintenance because porcelain veneers should be polished with a specially formulated, non-abrasive paste, and because your dentist needs to inspect your dentistry for any sign of potential failure.
Cost of Veneer



