Aesthetic Anterior Fillings
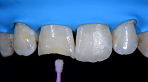
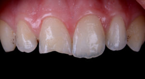
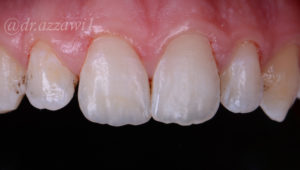
Anterior teeth are one of the most scrutinized teeth, the size and shape and color of the anterior upper teeth plays an important role in dental aesthetic and smile aesthetics. A lot of aesthetic anterior problems could be solved with composite restorations. For example, dental caries, tooth fracture, enamel defects and diastemas. Composite restoration can also improve aesthetic by changing shape, color, length and alignment of teeth.
Why the treatment of Dental caries in anterior teeth with an Aesthetic anterior Fillings by your Dentist in Vienna ,dentist near me Dr.Azzawi are high end Aesthetic restorations ?
Dr.Azzawi has detailed anatomical knowledge and artistic skill , for example, optimal properties of natural teeth, tooth proportions and their relationships to each other and to the surrounding soft tissues and selection of appropriate restorative materials that match adjacent residual tooth tissue .For more Information and real cases which are treated by Dr.Azzawi you can visit Anterior Fillings cases
Advantages
The advantages are:
- Minimally invasive – They require minimal (or no) tooth preparation to enhance resistance and retention form
- Significant fewer endodontic complications
- Re-intervention is easier as restoration are more reversible and amenable to repair
- Reduced risk of wear to opposing teeth
- Time saving- Only require single appointment
- Require no provisional restoration
- Lower financial cost
- Chipping can be repaired by adding new composite layers, and colour changes sometimes can be fixed by composite resin polishing.
Direct composite Veneer
Composite Fillings for closing diastema
Treatment of spacing in anterior teeth by your dentist in Vienna Dr.Azzawi is one of great options , Closing diastema between anterior teeth with composite Fillings with direct technique is conservative and timesaving .
What are my other Treatment Options for treatment of Diastema ?
1.Use porcelain veneers, very thin pieces of porcelain bonded to the outside of the teeth give the natural looking for your treatment of anterior teeth .
2. If you have large spacings between anterior teeth then a combined approach for large diastema closure, using both minor orthodontics and minimal invasive direct restorative treatment. kindly have a look for our real treated cases by your Dentist in Vienna Dr.Azzawi Anterior Fillings cases
Cost of Aesthetic Anterior Fillings
you can find out the the cost of Aesthetic Anterior Fillings after a detailed examination and therapy planning in our practice.
Please note, everyone is an individual. For this reason, individual advice and treatment planning are always required in order to work out the appropriate therapy, including alternatives, for each individual. For this reason, the more knowledge of prices without a personal consultation cannot and should not influence your decision against or for a certain treatment variant, and no conclusions can be drawn about the total costs of a desired treatment. Ask us, we will be happy to advise you and work out the right solution for you!

